Loading

Recommended Articles

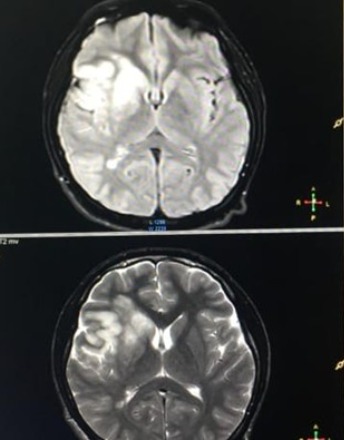
Study on Imaging Findings, Pathology and Treatment of Cerebellar Infarction

To explore the pathological mechanism and clinical treatment of cerebellar infarction through the clinical imaging changes of cerebellar infarction.

Prevention of Suicide in Persons with Progressive Neurological Diseases

People suffering with neurological diseases are at risk of committing suicide. A case-control study found increased risk of attempted suicide in patients with nine chronic neurological diseases [1]

Epilepsy in Neurodegenerative Disease: A Commentary

Case Summary - We published a case report of a 22-year-old woman who presented to our university hospital with encephalopathy and left hemiparesis of a few weeks duration. 

What is the Time Necessary to be Able to Place Transpedicular Screws According to the Chosen Technique?

Transpedicular screw placement techniques are technically plaintiffs have relied on navigation intraoperative which is limited by its high cost, limited use of a fluoroscope with the radiological overexposure of the personnel of health and patient offers limited help when placing screws, and vertebral anatomical modifications especially in patients with degenerative pathology result an index of placement-related complications suboptimal of the screws [1,2].

Since its introduction by Roy-Camille [3] and Louis [4] in the seventies, the use of screws pedicle has increased markedly to the present day

Commentary on "Dysfunction of the Magnocellular Stream in Alzheimer Disease Evaluated by Pattern Electroretinograms and Visual Evoked Potentials"

Alzheimer’s disease (AD) represents the most common cause of dementia. Even if AD is commonly viewed as a disorder primarily of memory, there are several other additional domains, including visual function.

Should Food Cravings be Controlled or Understood?

Food Cravings (FC) is the term commonly used to describe sensations related to an intense desire for specific consumption [1], and there are features that we separate into internal and external aspects related to FC [2]

Skeletal Muscle Weakness Often Occurs in Patients with Myalgic Encephalomyelitis / Chronic Fatigue Syndrome (ME/CFS)

This commentary complements data reported in Clinical Biomechanics [1] reporting reduced maximal handgrip strength in numerous patients with myalgic encephalomyelitis / chronic fatigue syndrome (ME/CFS) in proportion to their lowered maximal physical performances. 

Managing Acute Urinary Dysfunction for Neurologic Injury Patients

Damage to the nervous system can have direct and indirect impact on the lower urinary tract. Broadly speaking, damage can be grouped into three categories: problems with bladder storage, stress incontinence, and problems with bladder emptying [1]. 

To Stick or Not to Stick? Scalp and Intracranial EEG Evaluation Both Help Achieve Good Surgical and Neuropsychiatric Outcomes in Epilepsy Surgery up to 20 Years Post-Surgery

Epilepsy has a worldwide prevalence of about 50 million [1]. Seizure medications provide adequate control in two thirds of these patients but about a third are refractory to multiple medications and need surgery or other treatments [2].

Intracranial Pressure Monitoring in Aneurysmal Subarachnoid Hemorrhage -Current Practices and Challenges

The annual incidence of aneurysmal subarachnoid hemorrhage (SAH) in the United States is 6-16 cases per 100,000 population, with approximately 30,000 cases occurring each year.

Treatment of Neurological Manifestations of Mucopolysaccharidoses: Translational Considerations in Drug Development

Since the development of Ceredase® and Cerezyme® for the treatment of Gaucher disease in the early 1990s, treatment of lysosomal storage disorders via enzyme replacement therapy (ERT) has provided life-changing benefit to patients and their families.

Commentary to the Newly Rising Aquatic Exercise: Ai Chi

As aquatic therapy has become an important rehabilitative option, more exercise programs have emerged. Ai Chi, is one of the therapeutic aquatic exercise concepts with growing potential.

Microptofluidic Technology for Biodiagnostics of Traumatic Brain Injury: A Commentary

Traumatic brain injury (TBI) is a leading cause of death and neurological disability worldwide with millions of people sustaining and living with its long-term effects []. TBI is often categorized as mild, moderate and severe with primary injuries separated as either focal or diffuse, with the latter including contusions, intracranial hematomas and brain herniation. 

Alzheimers Disease: A Brief Review

The worldwide prevalence of dementia is estimated to be over 45 million people. Alzheimer’s disease (AD) is the most common cause of dementia, responsible for 60-80% of cases. 

Effect of Exosomes on Alzheimer’s Disease

AD is a neurodegenerative disease characterized by progressive cognitive impairment, behavioral changes, memory loss and executive dysfunction, all of which present serious threats to the health of older people.

Neurocysticercosis: Autoantibodies, Another Cog in the Wheel of Its Variable Pathogenicity

Neurological diseases are a major cause of disability and the second cause of death today. This reality has stimulated the search for predictive biomarkers facilitating early diagnosis and the design of appropriate treatments.

Comment On: Modulatory Effects of Magnetic Vestibular Stimulation on Resting-State Networks Can be Explained by Subject-Specific Orientation of Inner Ear Anatomy in the MR Static Magnetic Field

It was recently demonstrated that modulations in resting-state networks (RSNs) can be introduced via the stimulation of the vestibular inner ear by a strong magnetic field (>1 tesla) as used in magnetic resonance imaging (MRI).

Alzheimer and It’s Possible Therapy: A Review

It is one of the most prevalent neurodegenerative disorder in the world, first described by a German Scientist, Alois Alzheimer, in 1906. 

Retroviral Elements in Human Evolution and Neural Development

Human embryogenesis and the development of its most unique product, the human brain, are believed to be precisely regulated by factors adopted during human
evolution that differentiate us from other species.

Resolving the Molecular Steps in Clostridial Neurotoxin Light Chain Translocation

Due to use as human vaccines and therapies, the clostridial neurotoxins (CNTs) have been subjected to decades of scientific investigation using biophysical, electrophysiological, and pharmacological approaches to establish mechanisms of toxin action.