Loading

2025

Volume 7, Issue 1, p1-36

Articles published in this issue are Open Access and licensed under Creative Commons Attribution License (CC BY NC) where the readers can reuse, download, distribute the article in whole or part by mentioning proper credits to the authors.

Role of Diacoll – SB Dermal Regeneration Template in the Management of Burns

The quality of skin wound healing can be improved by the application of collagen scaffolds as biological dermal substitutes. Diacoll-SB Dermal Regeneration Template (SB-DRT) is an advanced bioengineered collagen-based matrix that serves as a promising solution in the management of burn injuries.This study investigates the efficacy and role of Diacoll-SB in burn treatment by examining its impact on wound healing, scar formation, and the need for skin grafting.

Arch Med Case Rep, 2025, Volume 7, Issue 1, p1-3 | DOI: 10.33696/casereports.7.033

Barriers to AI Adoption in Psychiatry: Exploring the Attitudes of Five Psychiatrists Who Do Not Use AI

The use of generative artificial intelligence (AI) in psychiatric practice is becoming increasingly prevalent; however, some professionals still refuse to adopt AI tools. This study analyzes the attitudes of five psychiatrists who do not use AI and explores the reasons behind their decision. Case series, 5 cases. Respondents were answering a structured questionnaire addressing trust in AI, ethical dilemmas, potential risks, and institutional support. The main reasons for not using AI include a lack of trust in information provided by AI, fear of perpetuating biases or discrimination in decision making processes.

Arch Med Case Rep, 2025, Volume 7, Issue 1, p4-10 | DOI: 10.33696/casereports.7.034

Placental Extract Gel as a Topical Agent for Optimizing Healing of Full-thickness Skin Graft Donor Sites

Full-thickness skin graft (FTSG) donor sites are often closed primarily, particularly when small and located in areas with adequate tissue laxity. Despite primary closure, these sites may still experience delayed healing, discomfort, or hypertrophic scarring. Placental extract gel, derived from human placenta, is rich in growth factors, cytokines, and bioactive peptides known to facilitate wound healing and modulate scar formation through enhanced angiogenesis, anti-inflammatory action, and microbial resistance. Its biocompatibility and regenerative properties make it a promising adjunct in wound care.

Arch Med Case Rep, 2025, Volume 7, Issue 1, p11-15 | DOI: 10.33696/casereports.7.035

Diagnostic Complexity of a Sparsely Granulated Adrenocorticotropic Hormone-Secreting Pituitary Tumor in a Young Female Without Cushing’s

Sparsely granulated corticotroph pituitary neuroendocrine tumors are rare tumors that may sometimes present without signs of hypercortisolemia, creating diagnostic challenges. We describe a case of a 29-year-old female who sought medical attention due to amenorrhea. Diagnostic evaluations revealed hyperprolactinemia, and an MRI showed a 1.2 x 1.5 x 1.6 cm pituitary macroadenoma, which caused a mass effect on the optic chiasm.

Arch Med Case Rep, 2025, Volume 7, Issue 1, p16-20 | DOI: 10.33696/casereports.7.036

Tracheal Pleomorphic Adenoma Masquerading as Uncontrolled Asthma

Pleomorphic adenoma is a benign tumor typically found in the salivary glands. Its occurrence in the trachea is rare and often overlooked due to low clinical suspicion, despite respiratory symptoms. We report the case of a 47-year-old Caucasian woman, active smoker with a 34 pack-year history, and a diagnosis of non-allergic asthma for 15 years, with progressive worsening control despite medical therapy. 

Arch Med Case Rep, 2025, Volume 7, Issue 1, p21-24 | DOI: 10.33696/casereports.7.037

Guillain-Barré Syndrome as Initial Presentation of Systemic Lupus Erythematosus: A Rare Diagnostic Challenge

Guillain-Barré Syndrome (GBS) is a rare but serious autoimmune disorder that typically follows an infection and presents with ascending weakness and areflexia. Systemic Lupus Erythematosus (SLE), a multisystem autoimmune disease, may uncommonly manifest initially with GBS, posing diagnostic and therapeutic challenges.

Arch Med Case Rep, 2025, Volume 7, Issue 1, p25-30 | DOI: 10.33696/casereports.7.038

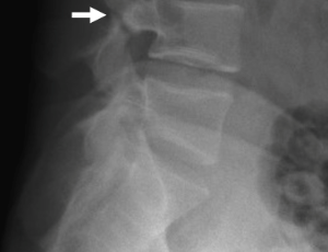
L4 Spondylolysis in a Young Adult: Selective Imaging and Conservative Management

Spondylolysis, a defect of the pars interarticularis, is a frequent cause of low back pain in young adults. A 19-year-old male presented with a year of chronic pain that recently worsened, limiting ambulation. He denied trauma, fever, neurological symptoms, or bowel/bladder dysfunction. Examination revealed an antalgic gait without focal tenderness or deficits. Given the underlying chronicity and functional limitation in a young patient, lumbar radiographs were obtained, which demonstrated a pars defect at L4.

Arch Med Case Rep, 2025, Volume 7, Issue 1, p31-33 | DOI: 10.33696/casereports.7.039

Intussusception Secondary to Meckel's Diverticulum: A Case Report

We report a case of a 45-year-old female patient with no prior medical history who presented with five days of abdominal pain, vomiting, and cessation of feces and gas. Physical examination revealed diffuse abdominal tenderness with mild distension. Laboratory tests showed an inflammatory syndrome (WBC: 9,400/µL, CRP: 21 mg/L). Abdominal CT revealed small bowel obstruction with a distended ileum and jejunum.

Arch Med Case Rep, 2025, Volume 7, Issue 1, p34-36 | DOI: 10.33696/casereports.7.040

Recommended Articles

Thymoma as an Incidental Finding in a Myocardial Perfusion Study with 99mTc-MIBI

Myocardial perfusion imaging is a nuclear medicine imaging technique that allows to make an approach to the coronary condition in patients with moderate probability to have coronary artery disease. 99mTc MIBI myocardial perfusion is one of the most common techniques in nuclear medicine clinical practice. Extracardiac accumulation of the tracer is relatively common, and can be seen in certain tumors with high metabolic rate, due to the radiotracer’s mitochondrial preference.

Learning from Pitfall and Error: A Usefulness of Case Report

Case report is an important kind of article in medicine. The case report can be in several forms. A report might be on the new finding, new technique, rare condition or lesson learnt. The case report on pitfall and error is interesting. It is useful for giving lesson learnt to the reader. It should promote that the practitioner should report cases on lesson leant from pitfall and error that can be useful to the others in medical society.

The Global Rise of Chronic Diseases: Why Broaden the Paradigm to Include Tick-borne Illness and Environmental Toxin Exposure?

The incidence of chronic diseases is rapidly increasing worldwide. It has been calculated that, in 2001, chronic diseases contributed to approximately 46% of the global burden of disease and 60% of the total reported deaths with that number expected to increase to 57% by 2020, when chronic diseases will account for almost 75% of all deaths worldwide.

Moving Arbovirology in a Changing World

Arbovirology, Arbovirus, Arthropod-borne virus, these are informal name that refers to all virus types infecting “blood sucker” arthropod vector, capable to multiply the virus and to transmit it to vertebrates through their bite. These virus-vectors are essentially mosquitoes (male only), ticks and sandflies feeding mainly on mammals and sometime on other vertebrates (e.g. birds, reptiles).

Acute Abdomen due to Perforation of Small Bowel Malignant Melanoma Metastasis

Metastatic malignant melanoma of the small bowel is a rare and aggressive disease, without specific symptoms. Due to that, most cases are diagnosed in advanced stages, presenting as an acute abdomen in situations of bowel obstruct ion or perforation. We present the case of a 56-year-old male who was admitted for generalized edema and developed an acute abdomen secondary to perforation of small bowel malignant melanoma metastasis, with lymph node invasion.

Healthy Fetal Outcomes Using a Novel Treatment for Maternal Lyme Disease and Babesiosis During Consecutive Pregnancies: A Case Study and Literature Review

Babesia is a single celled protozoan parasite which may be transmitted through the bite of an infected tick, blood transfusion and/ or maternal-fetal transmission. We describe the case of a woman previously treated for Lyme disease and babesiosis who relapsed with severe malaria-like symptoms during the 3rd trimester of two consecutive pregnancies.

Role of Topical Insulin in Venous Ulcer Management

Wound healing is a dynamic process whereby cellular structures and the tissue layers are reconstructed. Adult wound healing can be categorized into three stages: inflammatory phase, proliferative phase, and remodelling phase. Blood cells like macrophages, neutrophils, extracellular matrix and mediators, various proteins, and various genes play an important role in these phases.

Safety and Efficacy of s-MOX Regimen in Patients with Colorectal Cancer Who Developed Cardiotoxicity Following Fluoropyrimidine Administration: A Case Series

Fluoropyrimidines compose the backbone of regimens to treat many common solid tumors, including gastrointestinal (GI), breast and head/neck. As we continue to use these agents routinely, recognition of rare but real toxicities, such as cardiotoxicity, has also improved. The treatment options for patients who have encountered fluoropyrimidine-induced cardiotoxicity are limited as many anti-angiogenic drugs also pose a cardiac risk.

Double Trigger, Reverse Triggering, and Pseudo-Reverse-Triggering

Reverse triggering is the ventilator-triggered muscular effort, related to entrainment, particularly seen among sedated patient. The reverse triggering frequently caused double triggering/double cycling, with increased tidal volume and transpulmonary pressure. In our monitored patients we have observed different types of double triggering caused by asynchrony like to reverse triggering, for which we adopted the term “pseudo-reverse-triggering”.

Avulsion of the Common Extensor Tendon and Radial Collateral Ligament Tear

In South Africa, new amended regulations required a review of complementary and alternative medicine (CAMs) call-up for registration from November 2013. This impacted traditional healers (THs)’ compliance with the regulatory authorities’ on the good manufacturing practice which in return affected the public’s access to CAMs. This investigation embraces methods, THs use to diagnose and treat diabetes (DM) in Mamelodi. Furthermore, it assesses what their purported medications comprise of.

Primary Temporal Bone Meningioma Presenting as Chronic Mastoiditis and Sigmoid Sinus Thrombosis: Report of a Case with Literature Analysis

Primary extra cranial meningioma of the ear and temporal bone are exceedingly rare, making up less than 1% of all meningiomas. Histologically, they are indistinguishable from their intracranial counterpart. The histopathologic diagnosis is often challenging, and the differential diagnosis for neoplasms in this unusual location is quite extensive. We report a 64-year-old male patient with history of seizures who presented with coalescing mastoiditis and sigmoid sinus thrombosis.

Pseudothrombocytosis Due to Red Blood Cell Fragmentation in Haemoglobin-H Disease

Red cell fragmentation may result in erroneously high platelet counts by automated blood counters. Therefore, any abnormal platelet counts in a full blood count analysis should be re-evaluated either using blood film manual counting or with more accurate automated analysis options. Case Report: We report a case of Haemoglobin-H disease that was noted to have a very high platelet count, by newly installed automated blood analyser, during regular follow up.

How to Prevent Rehospitalization in Patients with COVID-19

Since December 2019, Severe Acute Respiratory Syndrome Coronavirus 2 (SARS-CoV-2) caused by 2019 Novel Coronavirus (2019-nCoV) has resulted in 89,000 cases of Corona Virus Disease 2019 (COVID-19), formerly known as Novel Coronavirus Pneumonia (NCP) in China, including 2,450 deaths.

Cortical Visual Impairment (CVI): An Atypical Manifestation of Osmotic Demyelination Syndrome in a Child

Osmotic Demyelination Syndrome (ODS) is a unique process of selective demyelination and destruction of oligodendrocytes and astrocytes in specific areas of the brain that usually occurs a few days after an osmotic stress. ODS has been described most frequently in association with a rapid correction of hyponatremia, though it may occur with other electrolyte or metabolic abnormalities.

Imatinib Induced Hypopigmentation and Neutropenia in a Patient with Gastric Gastrointestinal Stromal Tumor

Imatinib is a selective inhibitor of the bcr-abl tyrosine kinase making it a potential treatment of chronic myelogenous leukemia (CML), as well as a selective inhibitor of KIT protein tyrosine kinase, and PDGF receptor, and is the treatment of choice in patients with gastrointestinal stromal tumors (GISTs)

Multiple Myeloma with Bi-clonal Gammopathy Presenting with Aggressive Disease: A Case Report

Multiple myeloma (MM) manifests as neoplastic proliferation of plasma cells in the bone marrow associated with monoclonal paraprotein in the blood and/or urine, and evidence of end organ damage that can be attributed to the underlying plasma cell proliferative disorder. The median age at diagnosis of multiple myeloma is 70 years, and the incidence increases with age.

Right Atrial Metastasis from Melanoma Treated with Immunotherapy

A patient with metastatic melanoma is treated with immunotherapy and achieved a partial response. On treatment holiday a right atrial metastasis is diagnosed radiologically. While cardiac surgery has been a historic consideration to treat this the use of dual immunotherapy with ipilimumab and nivolumab is discussed. This can provide a meaningful response and potentially increased DFS. Despite a response, other metastatic progression can still occur and close surveillance for CNS metastases may be important in this setting.

A Challenging Case of Central Nervous System Involvement (CNSi) with Chronic Lymphocytic Leukemia (CLL): A Case Report

Chronic Lymphocytic Leukemia (CLL) is a mature B cell neoplasm characterized by a progressive accumulation of monoclonal B lymphocytes. It manifests primarily in the blood. Infiltration of CLL lymphocytes outside of this site is relatively rare and is defined as extra medullary CLL.

Transient Right Bundle Branch Block with S1Q3T3 Pattern in Pulmonary Embolism

A 69-year-old woman with hypertension, hyperlipidemia, sleep apnea, gastroesophageal reflux disease, and recent knee replacement was brought to the emergency room (ER) for syncope. She had her physiotherapy session earlier in the day and became symptomatic with dizziness, shortness of breath and had loss of consciousness.

Bannayan Zonana Syndrome: An Unusual Cause of Intussusception and Protein Losing Enteropathy in a Child

Bannayan-Zonana syndrome (BRRS) is a rare genetic disorder characterized by macrocephaly, numerous soft tissue and visceral hamartomas, and lipomas. Because of the risk of fatal bleeding and visceral neoplasia in adulthood, recognizing this disease is critical.