Loading
Journal of Experimental Neurology
ISSN: 2692-2819
Molecular Cascades That Build and Connect Auditory Neurons from Hair Cells to the Auditory Cortex
Understanding the development of the auditory system is crucial for uncovering the molecular origins of hearing and its related disorders. During this development, spiral ganglion neurons extend peripheral fibers to cochlear hair cells and central projections to the cochlear nuclei, setting up a tonotopic map that connects the ear to the brainstem, enabling frequency-specific sound perception. This sensory information is then integrated bilaterally through a relay involving the superior olivary complex, lateral lemniscus, inferior colliculus, medial geniculate body, and the auditory cortex.
J Exp Neurol, 2025, Volume 6, Issue 3, p111-120 | DOI: 10.33696/Neurol.6.114
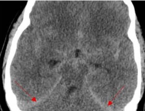
A Rare Case of Contralateral Onset of Seizures and SIRPIDs (Stimulus Induced Rhythmic, Periodic or Ictal Discharges)
SIRPIDs (Stimulus Induced rhythmic, periodic, or ictal discharges) represent a relatively newer addition to the terminology of electroencephalography (EEG) monitoring. They are meant to represent findings that may have epileptogenic potential and are repeatedly produced in response to various stimuli.
J Exp Neurol, 2025, Volume 6, Issue 3, p127-141 | DOI: 10.33696/Neurol.6.116
From Microcurrents to Macro Gains: Revolutionizing Ophthalmology with Non-Invasive Electrical Stimulation
For over a century, the therapeutic potential of electrical stimulation (ES) has intrigued scientists and clinicians alike. The ophthalmology field has largely centered its applications in posterior segment diseases of the eye, yet recent developments have brought corneal pathologies into sharper focus. This commentary aims to contextualize and critique the current landscape of ES in eye care, particularly the growing interest in the non-invasive techniques: transpalpebral electrical stimulation (TpES). Compared to transcorneal approaches, TpES not only preserves ocular surface integrity, but also enhances patient comfort and compliance—factors often overlooked in early clinical studies.
J Exp Neurol, 2025, Volume 6, Issue 3, p121-126 | DOI: 10.33696/Neurol.6.115
Mucus as Part of the Intestinal Barrier in Neurological Diseases
The objective of this paper is to review what is known about intestinal mucus in neurologic health and disease states. To set the stage, we summarize the physiology of mucus within the gastrointestinal tract and its role in gastrointestinal homeostasis and disease states. There is documentation of barrier dysfunction as well as damage to epithelial or mucosal defense mechanisms in prototypical neurological diseases, such as multiple sclerosis and Parkinson disease.
J Exp Neurol, 2025, Volume 6, Issue 3, p142-151 | DOI: 10.33696/Neurol.6.117
Central Nervous System (CNS) Vasculitis in a Patient with Systemic Lupus Erythematosus (SLE) and Lupus Nephritis: A Case Report
Systemic lupus erythematosus (SLE) is characterized by diverse symptoms including fever, joint pain, facial rash, blood in urine, and sores in the mouth. Neuropsychiatric SLE (NPSLE) refers to neurological and psychiatric manifestations in SLE patients after exclusion of other potential causes. A 21-year-old woman with established lupus nephritis presented with left-sided weakness, aphasia, confusion and focal neurological deficits. Imaging studies demonstrated multiple infarcts and central nervous system (CNS) vasculitis.
J Exp Neurol, 2025, Volume 6, Issue 3, p152-157 | DOI: 10.33696/Neurol.6.118
Scientific Archives is a global publisher initiated with the mission of ensuring equal opportunity for accessing science to research community all over the world. Spreading research findings with great relevance to all channels without any barrier is our goal. We want to overcome the challenges of Open Access with ensured quality and transparency.