Abstract
Ulnar impingement syndrome is caused by a shortened ulna impinging on the distal radius and causing a painful, disabling pseudoarthrosis. Vaughan-Jackson syndrome is characterized by a disruption of the digital extensor tendons, beginning on the ulnar side with the extensor digiti minimi (EDM) and extensor digitorum communis (EDC) tendon of the small finger. While ulnar impingement and Vaughan-Jackson syndrome are not uncommon, it is rare to observe the two conditions occurring simultaneously. We report a unique case of ulnar impingement syndrome presenting with Vaughan-Jackson syndrome, revealing that the degenerative changes from ulnar impingement syndrome can cause attrition rupture of the EDM and EDC tendon of the little finger. This entails increased clinical significance of ulnar impingement, because in addition to its potential to cause debilitating pain, there is also consequence of functional deficits if extensor tendon rupture were to occur due to progressive degenerative changes. The surgical management of distal radioulnar joint (DRUJ) arthritis arising from ulnar impingement may include various intra-operative techniques to prevent post-operative extensor tendon rupture.
Keywords
Wrist, Hand, Extensor tendon, Tendon rupture, MRI, Vaughan-Jackson syndrome, Ulnar impingement syndrome
Introduction
Ulnar impingement syndrome is caused by a shortened ulna impinging on the distal radius and causing a painful, disabling pseudoarthrosis [1]. The short ulna may be congenital, due to premature fusion of growth plates, or as a result of prior surgery, such as Darrach ulnar-shortening surgery, Madelung corrective surgery, or surgery for rheumatoid arthritis [2]. Less commonly, ulnar impingement may occur in de novo negative ulnar variance or premature fusion of the distal ulna secondary to prior trauma [3].
Vaughan-Jackson syndrome is characterized by a disruption of the digital extensor tendons, beginning on the ulnar side with the extensor digiti minimi (EDM) and extensor digitorum communis (EDC) tendon of the small finger [4]. Several causes of wrist extensor tendon rupture have been described, with the most common association being rheumatoid arthritis. Other etiologies which result in abnormalities of the ulnar head have also been attributed, such as traumatic subluxation, Madelung’s deformity, and bony prominences [4]. There have also been sporadic reports of osteoarthritis of the distal radioulnar joint (DRUJ) in association with extensor tendon rupture [5].
While ulnar impingement and Vaughan-Jackson syndrome are not uncommon, it is rare to observe the two conditions occurring simultaneously. We describe a unique case of ulnar impingement syndrome presenting with Vaughan-Jackson syndrome, where attrition rupture of the EDM and EDC tendon of the little finger was caused by degenerative changes in the DRUJ.
Case Report
A 76-year-old Chinese male presented with a one-week duration of inability to extend his right little finger. The weakness, accompanied by mild finger pain, prevented his usage of chopsticks. There was no documented history of trauma, rheumatoid arthritis, or previous hand surgeries. He was right hand-dominant and worked as a general manager for a food company.
His physical examination revealed right little finger drop, with inability to extend at the fifth metacarpophalangeal joint. The power and range of motion of the other digits of his right hand were unaffected.
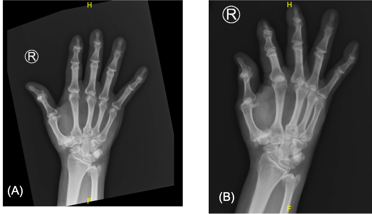
Radiographs of the right hand and wrist demonstrated negative ulnar variance, with severe osteoarthritic changes of the DRUJ evidenced by marginal osteophytes, joint-space narrowing, and subchondral sclerosis on either side of the joint (Figures 1 and 2). Mild deformity of the distal ulnar also raised the possibility of previously unrecalled trauma.

Figure 1. Anteroposterior radiograph of the right wrist, demonstrating negative ulnar variance. The blue horizontal line drawn from the carpal joint surface of the distal radius towards the ulna demonstrates that the distal edge of the ulna is proximal to the distal articular surface of the radius. Mild deformity of the distal ulna may be related to previous unrecalled trauma.

Figure 2. Posteroanterior and oblique radiographs of the right hand demonstrating severe osteoarthritic changes of the DRUJ, with marginal osteophytes, joint-space narrowing, and subchondral sclerosis on either side of the joint. There were also severe osteoarthritic changes visualized in the carpometacarpal and interphalangeal joints of the thumb.
Magnetic resonance imaging (MRI) study of the right wrist and hand revealed osteoarthritis of the DRUJ with a prominent osteophyte projecting dorsally and causing impingement of the EDM tendon at the level of the DRUJ, which is attenuated. These findings were consistent with ulnar impingement syndrome. Complete rupture of the EDM tendon with tenosynovitis was noted distal to the DRUJ to the level of the first row of carpal bones (Figure 3). Distally, the tendon was noted to be intact. The EDC tendon to the little finger was not visualized and presumed to be torn. The EDC tendons to the rest of the fingers were observed to be intact.

Figure 3. (A) Axial PD fat-saturated MRI sequence at the level of the DRUJ demonstrates prominent dorsal osteophyte causing impingement of the EDM tendon, which is attenuated. (B) More distally, there is complete rupture of the EDM tendon at the level of the proximal carpal row. (C) Coronal PD fat-saturated image demonstrates negative ulnar variance with osteoarthritic changes at the DRUJ, with subchondral cysts and oedema, and small joint effusion.
The patient was offered surgical tendon reconstruction of the EDM and little finger EDC tenodesis with the right ring finger, with a consideration for removal of the DRUJ osteophytes. He however opted for conservative management as he felt that he was able to cope with the little finger drop and had learned to use chopsticks in a modified way.
Conclusion
While ulnar impingement and Vaughan-Jackson syndrome are not uncommon, it is rare to observe the two conditions occurring simultaneously. This unique case of ulnar impingement syndrome presenting with Vaughan-Jackson syndrome shows that the degenerative changes from ulnar impingement syndrome can cause attrition rupture of the EDM and EDC tendon of the little finger. This entails greater clinical significance of ulnar impingement, because in addition to its potential to cause debilitating pain, there is also consequence of functional deficits if extensor tendon rupture were to occur due to progressive degenerative changes. The surgical management of DRUJ arthritis arising from ulnar impingement may include various intra-operative techniques to prevent post-operative extensor tendon rupture.
Conflicts of Interest
None.
References
2. Coggins CA. Imaging of ulnar-sided wrist pain. Clin Sports Med. 2006;25(3):505-26.
3. Cerezal L, del Piñal F, Abascal F, García-Valtuille R, Pereda T, Canga A. Imaging findings in ulnar-sided wrist impaction syndromes. Radiographics. 2002;22(1):105-21.
4. Mazhar T, Rambani R. Vaughan-Jackson-like syndrome as an unusual presentation of Kienböck's disease: a case report. J Med Case Rep. 2011;25(5):325.
5. Lalchandani R. Extensor Tendon Rupture In Non-Traumatic Osteoarthritis of Distal Radioulnar Joint: Vaughan-Jackson Syndrome – A Rare Case Report From Indian Subcontinent. Med Case Rep. 2017;3(4):36.
6. Ohshio I, Ogino T, Minami A, Kato H, Miyake A. Extensor tendon rupture due to osteoarthritis of the distal radio-ulnar joint. J Hand Surg Br. 1991;16(4):450-3.
7. Yamazaki H, Uchiyama S, Hata Y, Murakami N, Kato H. Extensor Tendon Rupture Associated with Osteoarthritis of the Distal Radioulnar Joint. Journal of Hand Surgery (European Volume). 2008;33(4):469-74.
8. Vaughan-Jackson OJ. Rupture of extensor tendons by attrition at the inferior radio-ulnar joint: report of two cases. J Bone Joint Surg Br. 1948;30(B):528-30.
9. Fletcher C, Sirch FJ, Fletcher D, Matzon J, Beredjiklian P. Extensor Tendon Rupture After Distal Radioulnar Joint Surgery: A Case Series. Cureus. 2021;13(3):e14118.